親知らず外来
親知らずでお困りのかたへ
親知らずは智歯とも呼ばれる歯で18歳ごろに生えてきます。現代人は顎が小さくなっている為最後に生えてくる親知らずのスペースはなくなり斜めに生えてくることがあります。そこに食べカスが挟まりやすいので腫れたりを繰り返してしまいます。
このような場合は抜歯をお勧めしますが、まっすぐ生えて歯磨きもしっかり出来ていればわざわざ抜く必要はありません。というのは親知らずは条件が良ければ不幸にして他の失った歯の移植歯として利用することができます。
親知らずについて何かわからないことありましたらお気軽にご相談ください。
親知らずの治療例
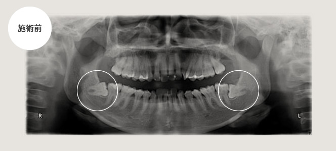
腫れが強い場合

左下が腫れて痛いという主訴で来院され、その日は抗生剤の投与及び消毒をして1週間後に腫れが減少してから抜きました。時間は約30分ぐらいで比較的術後の腫れもなかったです。
その後患者さんからこれぐらいの腫れと痛みならということで、3ヵ月後に右下の親知らずも抜いてくれということで、抜きました。
所要時間は約30分で術後の腫れも前回と同じくらいとのことでした。

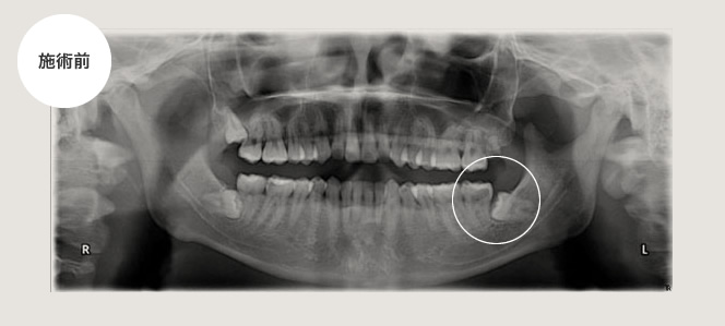
手前の歯が虫歯になってしまった例、及び抜く必要がない場合

左下がズキズキ痛むという主訴で来院されました。
原因は親知らずの一つ手前の歯が歯髄炎になってしまっていたので、神経の処置を通法通り行いましたが、親知らずの頭が一部でていたため、そこに汚れがたまり手前の歯が虫歯になってしまったため左下は抜歯しました。
右下は完全に骨の中に埋まっている状態でしたので抜く必要はありません。



クレジットカード(VISA/MasterCard/JCB/AMEX/Dinners Club)でのお支払いが可能です。